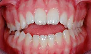
Deglución atípica
La gran desconocida para mucha gente, ya que no han oído hablar nunca de ella y no sabe las consecuencias que puede tener. La deglución...
Artículos, consejos y recursos sobre logopedia, desarrollo del lenguaje y bienestar infantil elaborados por nuestro equipo de profesionales.
La gran desconocida para mucha gente, ya que no han oído hablar nunca de ella y no sabe las consecuencias que puede tener. La deglución...
La por és una resposta emocional davant la percepció d’una amenaça real o imaginària. Es tracta d’un mecanisme de supervivència bàsic en resposta a un...
Sempre que algú arriba a la consulta, ens pregunta si arriben tard o a temps pel tractament i per això avui vull explicar-vos quan s’ha...
Les rebequeries són un fenomen habitual que es dóna a la infància i que sovint esdevé difícil de gestionar pels pares i mares, sobretot si...
Alguns ja ho sabeu, però ens agradaria informar-vos que el centre compta amb servei de psicologia. I aquest blog serà compartit. El centre ofereix un servei...
L’arribada d’un nou membre a la família acostuma a ser un fet il·lusionant alhora que angoixant tant per pares com a fills. Els pares temen...
El nadó quan té malestar plor; és la seva manera de dir que hi ha alguna cosa que l’angoixa (té son, té gana, té mal...
Nuestro equipo de logopedas está disponible para atenderte. Pide tu primera consulta sin compromiso.
Contactar